Hear
#Ophthalmology
Hashtag Ophthalmology
AMD
AMD
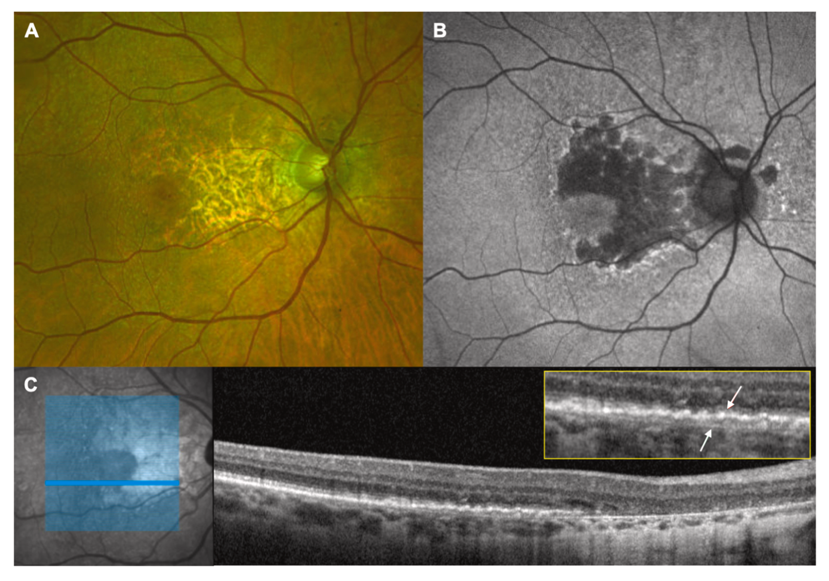
Double layer sign in retinal diseases
Edmund Tsui
Share Talk
surveyophthalmol.com
to learn more
September 28, 2025
2 hr
Log in
Sign Up
Channels
Discovery
Allergy
AAAAI 2026
Cardiology
Every Day
COVID
Every Day
Dermatology
Every Day
Derm-it Trotter! Don’t Swear About Skincare
Derms on Drugs
Endocrinology
Every Day
ENDO 2022
ATA 2022
Gastroenterology
Every Day
IBS
Hematology
Every Day
CLL
IMF Patient & Family
Miracles For Myeloma
ASH 2024
Hepatology
Every Day
Nephrology
Every Day
Channel Your Enthusiasm
CKD
Freely Filtered
ASN 2024
NKF SCM 22
Kidney Week 2022
Neurology
GSA 2025
Oncology
Every Day
Clinical Trials
eBC
Gastrointestinal
HER2+ @ ASCO 2025
ESMO 2022
Ophthalmology
Every Day
AMD
Dry Eye Disease
EyeCan: A Canadian Lens on Ophthalmology
ARVO 2024
VISIONS 2024
AAO 2023
WIO 2022
Primary Care
Every Day
Pulmonology
Every Day
Rheumatology
Every Day
HIV
ACR 2024
Urology
Every Day
Speaker
Share
Double layer sign in retinal diseases
Twitter
Facebook
Linkedin
Reddit
Email
Copy Link
Description
Double layer sign in retinal diseases
Double layer sign in retinal diseases
Log in
|
Sign Up
Get Medspoke on your Devices
Privacy Policy
Terms of Services
Copyright Center
Community Guideline
Support
Hear
Speakers
Talk
Profile
CME
Hear here
We'd love hear from you, but you have to log in first
Log In
or
Sign Up
Privacy Policy
Why are you reporting this TALK?